Анализ крови:
Щелочная фосфатаза 203, 3
билирубин общий 4, 3
билирубин прямой 0, 2
амилаза 154, 8
глюкоза 4, 8
Возила 5 дней на уколы (температура была в норме, вялости и слабости не было, кот с абсолютно живым любопытством, тогда уже начал худеть, но весил кг 4 - 5, рвоты практическине было), ставили:
витамины (плюс в первый раз физраствор, по-моему)
глюкозу
антибиотики.
Пили порошок Vetom 1.1, и раствор коры дуба.
Пока ставили уколы, у кота появлялся аппетит (не всегда, а как-то внезапно, как в выражении "жор нападал"). В целом от еды отказывался. (Кормила: Китекэт в банке - категорический отказ; вареная курица и бульон - категорический отказ; корм Sheba - ел изредка с лососем, и с индейкой; мог поесть детское пюре мясное Агуша; немного поел мелко покрошенное мясо проваренное, но потом категорически отказывался). Пил нормально.
Пока ставили уколы стул был черного цвета, жижеобразный, но кот ходил в туалет реже (1-2 раза в день).
Когда перестали ставить уколы, все ухудшилось. Поход в туалет - чуть ли не каждый час. Позвонила в эту же клинику - сказали корой дуба отпаивать (по 0, 5 мл 3 раза в день) и сделать УЗИ. Поила. Кот перестал есть вообще. Исхудал до 3 кг!
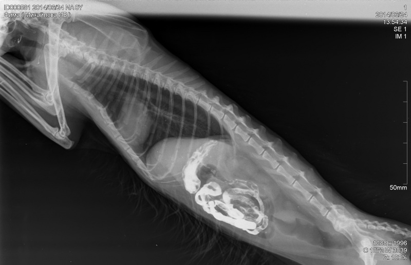
Сделали УЗИ печени и рентген ЖКТ (фото рентгена во вложении).
УЗИ печени (делала бабушка, которая без очков ничего не видит, так что это не достоверные данные на мой взгляд):
правая доля: 4, 17 мм, левая доля 2, 5 мм, не увеличена
Желчный пузырь: не визуализируется
Почки: Правая 3, 05 * 2, 14 мм.
До этого у кота были воспалены глаза (расчесывал коросты на веках, глаза слезились), и мы вызывали ветеринара на дом, он прописал:
Хитозан (порошок, 3 раза в день)
Китайский кальций (его кот пил с удовольствием)
И какой-то китайский чай.
Сейчас у кота уже наблюдается вялость (хотя до этого, несмотря на возраст (19 лет, но все ветеринары в разных клиниках говорят, что он по виду и по здоровью намного моложе), кот был абсолютно активным, любопытным, полным жизни, у него ничего не болело! ),
температура на момент написания текста: 37, 8,
стул стал реже (3-5 раз в сутки, но он и не ест ничего),
пьет меньше,
приходится насильно кормить,
ПРИ ВИДЕ И ЗАПАХЕ ЕДЫ ПРОИСХОДИТ РВОТНЫЙ ПОЗЫВ! без рвоты
Помогите, пожалуйста! Животное, которое было активным и полным жизни "уходит" на глазах! Я ношусь от клиники к клинике и везде встречаю малодушных незаинтересованных людей! Прошу Вас, отзовитесь!
1. Что еще необходимо сделать, чего я не сделала?
2. Что можно экстренно дать коту, чтобы не ухудшить его состояние, и ОСТАНОВИТЬ ПРОГРЕССИРУЮЩЕЕ УВЯДАНИЕ?
3. Что видно на рентгене ЖКТ кота?
4. Чем можно кормить кота в данной ситуации?
ПРИМУ ВСЕ СОВЕТЫ! Я не хочу терять кота, я его очень-очень люблю! Мы с ним с детства, это просто часть меня и я не могу видеть, как незнающие, неопытные врачи гадают на нем как на кофейной гуще, а ему все хуже и хуже.. Я не переживу, если из-за того, что я вовремя не нашла способ.. ответ.. на то, что с ним.. его не станет... Пишу и реву. Помогите, прошу Вас, ради Бога!



является ветеринаром ? ВЫ этим чаем запросто можете кота отравить... НЕ лечат всякой фигней ни людей ни животных. Свозите котика в Евровет ( на Станиславского круглосуточно) или ЦВК .. а обезвоживание при диарее очень и очень опасно для животного. Кстати вы не написали-в какую клинику обращались
